|
磨牙 打鼾 说梦话 如果要给不良睡觉行为打分,磨牙、打鼾、说梦话这三个肯定排名前三: 其中,打鼾和说梦话,第二天多半要遭别个投诉;磨牙就更恼火了,那种“吱吱吱”的声音,让人有种毛骨悚然的感觉,可能要直接遭别个摇醒。 那到底为啥会磨牙?
不是蛔虫!
不是蛔虫!
不是蛔虫!
磨牙,不是牙齿在“找”磨,是咀嚼肌的不自主收缩,专业说法叫规律性咀嚼肌运动。 以前推测的主要原因,比如咬合关系不良,颞下颌关节结构紊乱,现在都还没得到证实。 目前,学术界的主要共识是,磨牙是中枢神经系统介导的一种睡眠行为,具体病因机制还不清楚。
不过,既然跟大脑扯上关系,下头这些可能引起磨牙的危险因素就好理解了: 社会压力大 情绪上容易急躁、焦虑 某些中枢神经系统疾病 睡眠质量差
但是,也是因为跟大脑扯上了关系,一个让磨牙的人有点沮丧的推论就有了: 不管你在脸上贴好多个电极片,在嘴里塞好厚的垫,或者吃啥子神药,都不可能让磨牙完全停下来。 没得治了? 当然不是。
同样是磨,结果不一样
有的人磨牙,除了身边人抱怨,没得任何不舒服的感觉; 有的人磨牙,牙齿过度损耗,牙本质暴露、冷热敏感、食物嵌塞……
牙齿重度磨损
广泛楔状缺损
牙齿隐裂
牙槽骨增生 有的人磨牙,吱吱作响,感jio声音可以穿透房顶;
有的人磨牙,悄咪咪的,除了医生有可能连他个人都不晓得…… 乱扯!没得声音算啥子磨牙。 emmmmm,还真算,除了仪器检查,医生还有个杀手级问题:“你早上醒来的时候,牙齿有没有ao得bang紧?”
紧咬牙和左右磨动牙,都是夜磨牙的一部分。 磨牙的核心是咀嚼肌不自主收缩。
有的人磨牙,有时候活跃,有时候安静,算是偶尔为之; 有的人磨牙,夜夜如此,还要打鼾、说梦话,简直就是惯犯; 有的人磨牙,只能在牙尖上过度磨损的磨耗面上找到“犯罪证据”;
有的人磨牙,看一眼双侧肥大的咬肌,就晓得咀嚼肌每天晚上都在做运动;
啥子叫肥大的咬肌? 通俗点说,就是“腮帮子比较大”。
有的人磨牙,除了牙齿上有点痕迹,关节和肌肉,都很正常; 有的人磨牙,牙齿没得啥子磨损,但是两边脸包儿酸胀,还可能疼痛……
磨牙的诊断标准是啥?
夜磨牙分析和诊断的金标准是多导睡眠测量仪,说简单点,就是接上各种检测线,在检查室睡一晚上。 当然,还有一些更简单的检查方法,比如用一个表面涂色的膜片制成咬合板,戴起睡一觉,就晓得磨牙产生的是有害磨耗还是无害磨耗了。
停不下来的磨牙, 该咋办嘛?
虽然都是磨牙,但是“磨”与“磨”是不一样的,处理的目的,不是让“磨”停下来,而是保护牙齿、牙周、肌、关节这些结构的健康。
具体而言,处理方法可以分为以下四类: 心理行为治疗 药物治疗 咬合干预 咬合板干预 四种方法中,心理行为疗法效果还不太确切,药物治疗使用精神类药物有一定的副作用,而咬合干预指正畸、调𬌗等办法,咬合板干预一般在睡觉时戴用,可以作为长期使用的治疗手段。
但是,咬合板的种类也是千奇百怪。
真正能够长时间使用的,肯定是经过精心调磨的全牙列覆盖的咬合板,它们不光可以把牙齿垫开,还可以分散咬合应力,保护肌肉和关节。
当然,还是回到那句话:“磨”和“磨”是不一样的。如果没得任何不良的症状和体征,暂时不处理,也是一种选择。
牙齿已经磨平了,怎么办?
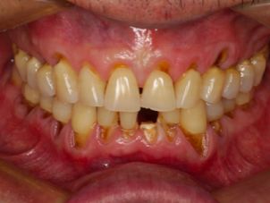
牙齿磨损过多,会有很多问题:嚼起来没劲儿、酸、塞牙、痛,还有,嘴可能要变瘪。
牙齿是不可再生组织,磨平了,自己是长不回来的,所以就需要寻求专业治疗,恢复被磨损的牙齿。
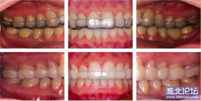
要恢复磨损的牙齿,只有用人工材料来替代,但这就不是简单的补牙了,要进行复杂的咬合重建:
虽然“磨”和“磨”是不一样的,但是,牙列重度磨损,值得所有磨牙的人警惕。
所以,不要再痛恨那些晚上磨牙的人了,他们也恼火得很!
皓美口腔爱牙热线 0561-3308666 19956102917 地址:首府西门南侧100米(王子干体检中心隔壁)
|