查看: 1545|回复: 0

[健康常识] 你这一口牙,估计都留不住了,要全拔掉!

[复制链接]

36

主题

31

回帖

89

积分

租房子住

淮币
356 个
威望
10 点
发表于 2021-3-18 10:11:34 | 显示全部楼层 |阅读模式 来自- 安徽省淮北市 电信
“你这一口牙,估计都留不住了,要全拔掉。”

听完医生这句话,30多岁的王建(化名)没忍住,眼泪掉了下来。

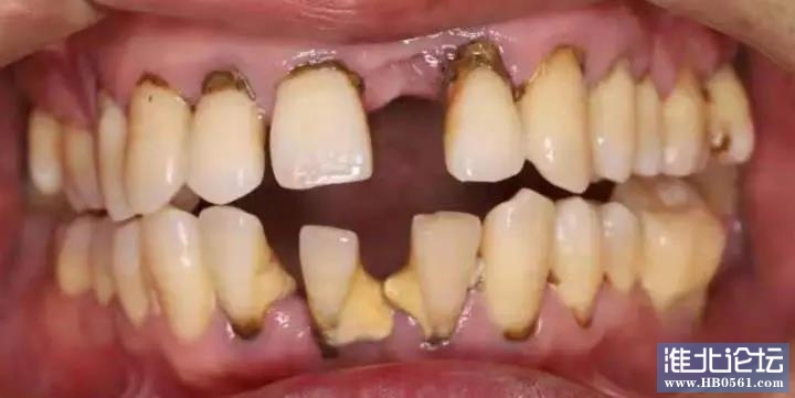
牙齿泛黄、松动,用手轻轻一拉就能拔掉;牙龈出血;一张口,嘴巴里就飘出刺鼻的臭味。仅仅看王建这口牙,很难想象他的主人只是位30多岁的年轻人。王建自己也没想到,三四年的时间,自己的牙齿就这么一点点“报废”了。

今年50岁的刘阿姨特别理解王建,10年前,她有过几乎一模一样的经历,“我失眠,暴瘦10多斤。牙齿治好后,我都有重生的感觉。”牙齿出问题有多难受?王建和刘阿姨最清楚,他们是一群遭受过口腔疾病痛苦的人。

30多岁的他,满口牙保不住了
王建现在仔细回想起来,自己的牙齿大概三四年前开始出问题的。

最开始是牙龈偶尔出血,像很多人一样,他觉得这都不是个事儿。他换了声称可以止血杀菌的牙膏,出血好像停了。

王建平时不怎么喝酒,但抽烟,两天一包。像大多数人一样,他对口腔的管理就是早晚刷牙,刷得多认真也称不上,有时候两三分钟,赶时间可能一分钟就结束战斗。牙线、冲牙器这些产品他几乎没用过,觉得麻烦,又没必要。

牙龈出血像王建生活中的一个小插曲,很快就过去了。又过了一段时间,王建觉得自己吃东西时,会牙痛。先是骨头有些啃不大动,他以为是上火,自己去买了点药。骨头啃不动,王建就吃软一点的肉,平时的饭菜都煮软一些再吃。再往后,王建发现吃软的东西,有时候,哪怕是一口豆腐,也嚼不动。

渐渐地,王建的牙齿出现松动,用舌头顶一下,它就活动。一咀嚼就痛,只有吃流食才不会有不适感。让他困扰的还有,口气越来越严重,他换了很多种清新口气的牙膏,也没多大用处。

这个时候,王建才想起自己要去医院了。

“这是严重的牙周炎,牙龈已经流脓,牙床的骨头已经快被细菌侵蚀没了。满口牙基本都不能保留,需要全部拔掉。” 浙江大学医学院附属邵逸夫医院牙科中心副主任曹筝副主任医师说。“牙齿变成这样,是日积月累造成的,一开始不大重视口腔管理,等问题严重时,已经不可逆了。”

王建当场呆住。
微信图片_20210318100411.jpg

手掌大的一块地方出血,你可能会立刻去医院
对曹筝来说,王健这样的患者,不是第一个,也不会是最后一位。“我们对牙齿的关爱程度远远不够。”

今年,第32个“全国爱牙日”调查显示,我国90%以上成年人有不同程度的牙周病。

“牙周病其实蛮可怕的,它是牙周围组织结构出现炎症、甚至被毁坏,严重的话,牙槽骨都会没有了,也就是整个口腔环境都遭到了破坏。”曹筝说,牙周病的发展是一个漫长的过程,它被称为沉默的杀手。“很多牙周病患者一开始根本不知道自己的牙齿有问题,他认为我的牙齿还能咬得动东西,就是好的,其实一旦咬不动东西,牙齿已经不行了。”

“蛀牙或者牙齿受伤可能只是拔掉一两颗牙齿,但牙周病是牙齿大环境出了问题,很多时候是牙全军覆没。我们都重视身体其他脏器的毛病,出了一点问题会及时就医,但经常会忽略牙齿的异常。” 邵逸夫医院牙科中心主任盛列平以牙龈出血为例,整口牙龈加起来的面积有手掌这么大,“如果是身体其他部位有这么大面积出血,你肯定很早就去医院了。”

牙齿出血她不在意,为此花掉10几万
刘阿姨(化名)40岁的时候,刷牙时,牙龈出血,“不多,但很频繁,几乎每次漱口都有血丝带出来。”

身边的人都说,牙龈出血很正常,很多人都有。

刘阿姨也就没怎么重视,买了消炎止血的牙膏,虽然没什么用,也就这么一天天过去了。
aa83669a2c1d0be55fc3530d10036b9d_hurts-teeth-1.jpg!260x300.jpg
大概三四年的功夫,刘阿姨的磨牙出现松动,凡是有嚼劲的肉,都吃不动,牙齿倒不怎么痛,就是用不上力。自己用舌头顶一下,牙齿就会晃动。

“最严重的时候,我除了鱼肉,什么荤菜都不能吃,只能吃烧得很烂的蔬菜、面条、粥,一下子瘦了15斤。”

觉得不对劲的刘阿姨去了医院,“找医生之前,我还觉得应该吃点药就好了。”
医生的诊断结果当时就把刘阿姨吓住了:牙周炎,比较严重,整口牙都要拔掉。

“我绝望了,想想自己以后都没有牙齿了,什么都不能吃了,外貌说不定也会变,想到那个样子,我心都凉了。”

再后来,刘阿姨找到了曹筝,“曹医生说,的确严重,磨牙是保不住了,但其他牙齿可以想想办法。”

最终,刘阿姨拔掉了10多颗磨牙,做了种植牙。整个治疗过程持续了一年多。

“太难受了,治疗是个浩大的工程,但曹医生说还可以想办法,我就积极配合。我很庆幸,我的牙齿还有救。”刘阿姨感叹,这口牙前后花费了10几万,“那个时候,我想,只要能治好,钱都不考虑了。你不知道,我牙齿种植好,立刻胖了20斤。”

如今的刘阿姨特别爱惜自己的牙齿:每天刷牙三次,刷完后还会用牙缝刷、冲牙器冲洗,“我现在刷一次牙按标准刷三分钟,以前一分钟就结束了。看了医生才知道,以前刷牙的方式也不对,40多岁开始,重新学刷牙。”

牙床上打个小孔,40多岁的他完成牙齿种植
盛列平解释,牙周病和遗传有关,有些人的牙槽骨特别容易被细菌感染,感染之后骨头萎缩,牙齿松动。“这类人群尤其要注意口腔卫生和管理。”

也有些患者来就诊时,显得满不在乎:牙齿坏了,就种植牙。

事情却不是那么简单。

“种植牙不是把坏掉的牙齿拔掉,种植上去就好了。首先需要牙周环境好,如果牙槽骨情况比较糟,种植的难度就会很大;其次种植牙后,更加要做好牙齿护理。因为理论上来说,种植牙牙龈和种植牙之间的密闭性没有天然牙齿的好,所以更加容易细菌残留的,如果患者原来就有牙周病,口腔卫生又不注意的,那么后期感染的机会就很高了。”

盛列平自己也有种植牙,他对种植牙的护理更加细致:除了刷牙、使用牙线之外,他每天都会用冲牙器冲洗,“刷过的牙齿再冲洗,依然会冲出食物残渣。”
微信图片_20210318100626.jpg

侧切牙断裂后拔出即刻种植即刻修复的患者
不过,盛列平也想告诉大家,如果真的需要种植牙,也不用紧张。网络上,很多种植牙的小视频,又是钻又是切开牙床,看起来好像很恐怖,不少人因为此甚至对看牙产生了心理阴影。

“我们现在种植牙会采用三维建模,手术前通过CT数据做好模型,提前设计好种植牙的角度、深度、位置等。种植的时候在微创下就可以完成,基本就是在牙床上打个直径3毫米左右的孔就可以,创伤很小。”

“另外,我们还采用即刻修复方法,就是在种植牙等待愈合期间,为了改善因暂时缺牙而带来的美观问题,我们在种植牙之前会预先为患者做好定制的临时假牙,种植后可即刻带入假牙。”

盛列平曾给一位40多岁的男患者一次性做了8颗种植牙,对方也是因为牙周病,整口牙都出现松动,几乎不能用,经过一系列的治疗后,最终做了种植牙。手术前期的准备工作很细致,手术过程很快,只用了40多分钟,手术恢复后,牙齿可以正常使用,基本没有什么不适。

“有些地方宣传种植牙的时候,会宣称,种植之后,可以立刻恢复如初,比如咬苹果等硬物,实际上,这是不科学的。”盛列平特别想提醒大家不要进入一些认识误区:种植牙有一个愈合过程,大概3到6个月左右,这期间最好不要食用硬物,而是食用那些用筷子就可以夹断的食物,“否则可能会导致种植牙长不牢固。”

牙齿护理小贴士:

1、 刷牙时出现出血,这种情况不是大家都有,也不是正常的,一般来说,牙龈出血是牙齿发出的警报,要及时就医。所谓消炎止血的牙膏用处都不大。
2、 一天两次刷牙不能代替牙线、牙间隙刷,有条件的最好每天使用一次冲牙器;刷牙方式要正确,一般推荐的是圆弧刷牙法。
3、 牙周病不能使用药物治愈,需要到专业医疗机构进行清洗,包括清除牙石、菌斑等。
4、 牙周病可以和全身性疾病有关联:包括糖尿病、心脑血管疾病、早产低出生体重儿、肥胖、骨质疏松等疾病。其中,牙周病和糖尿病相互影响。
5、 导致牙周病的原因有很多,包括牙菌斑、牙结石、以及遗传因素,糖尿病、骨质疏松症和艾滋病等都可促进和加重牙周炎的发展
6c81658860dc13042aac379f047e498_副本.jpg
爱牙热线:19956102917  0561-3308666


回复

使用道具 举报

您需要登录后才可以回帖 登录 | 立即注册

本版积分规则